Skip Menu
Continue
12 Grimmauld Place, Suite 107A, Regulus, NY 10573
  • Home
  • About Us
    • Our Office
    • New Patients
    • Smile Gallery
    • Dental Videos
    • Testimonials
  • Our Doctors
    • Wendell Granger, DDS
  • Services
      • CEREC Crowns
      • Cosmetic Dentistry
      • Crowns & Caps
      • Dental Bridges
      • Dental Cleanings
      • Dental Fillings
      • Digital Impressions
      • Emergency Treatment
      • Extractions
      • Fluoride Treatment
      • Oral Exams
      • Invisalign
      • Laser Dentistry
      • Orthodontics
      • Pediatric Dentistry
      • Periodontal Treatment
    • View All
  • Dental Health
  • Contact
    • Contact Us
    • Request Appointment

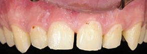
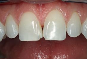
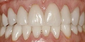
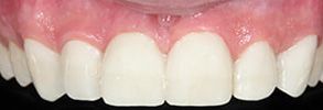
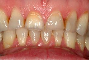
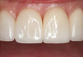
Smile Gallery

Additional Information

Our Location

12 Grimmauld Place
Suite 107A
Regulus, NY 10573
Existing Patients: (800) 416-5235

Follow Us

Don't wait. Book an Appointment Now!

With a quick phone call or form submission you could be on your way to a brighter, healthier smile. Click the button below to begin your journey.

Request an Appointment